
58岁的林先生怎样也没思到,困扰他三个月的鼻腔恶疾,泉源竟是一枚“藏”了40年的螺丝钉。

3月7日,林先生因鼻子捏续流脓鼻涕、伴有赫然异味,来到十堰市太和病院耳鼻咽喉头颈外科就诊。接诊大夫蔡正敏锐地意志到:成年东谈主鼻腔异味的背后,很可能藏着“不测”。
反复追问下,一段尘封40年的操心被叫醒——林先生回忆,年青时玩猎枪时,曾有金属物从颌面部擦过,bet365官网其时只肤浅包扎了事。三年前作念核磁共振时突遭“电击感”,大夫教导体内可能有金属,他才依稀思起那次不测。
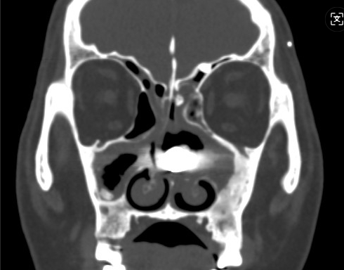
CT搜检印证了忖度:左侧鼻腔内真的有一高密度异物!
3月10日,邹帆大众团队在全麻下为其实行手术。由于异物留存太久,已被肉芽组织牢牢包裹,手术难度陡增。但凭借精确操作,团队仅用35分钟,就将一枚长约3厘米的螺丝钉完好取出。

术后林先生规复细致,已康复出院。大夫叮咛:鼻窦炎系异物恒久刺激所致,取出后按序治愈即可。
通信员:李毓霞BET365体育官方网站