
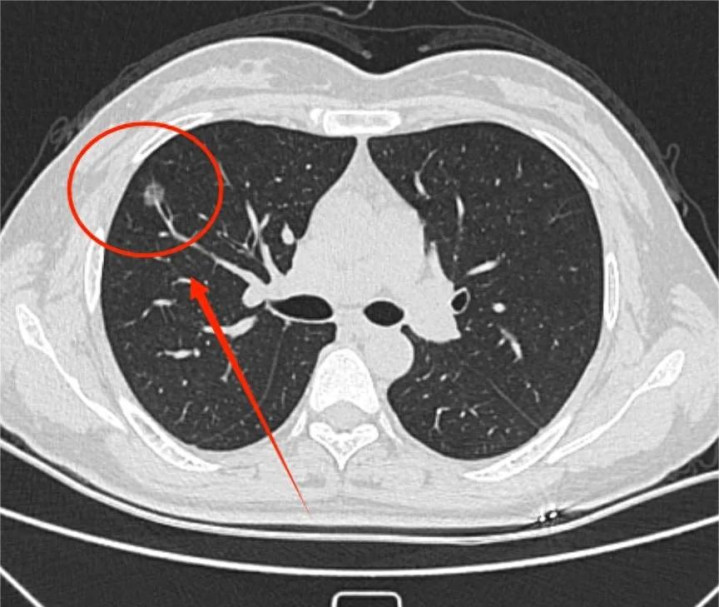
前几天门诊上有这样一个患者:2025年11月体检的时刻发现的双肺多发肺结节,最大的位于右肺下叶,直径6mm纯磨玻璃结节。因为风险尚低,是以医陌生远随访,时刻自愿体魄虚,就自行买了东说念主参、鹿茸进补,近1个月出现口干舌燥、大便干结等问题。2月底复查CT时:原6mm结节增大至8mm,且出现2mm的实性因素,密度增高。

这是一种比拟常见的情况:误补致变。本色上,有许多东说念主对进补达到了迷信的进程,却从不辨体质,而是传奇啥好就吃啥,效果补出了火、补出了痰、补出了瘀,关于结节患者来说,反而可能滋长结节。
中医以为,虚则补之,实则泻之。补法只适用于虚证,若体内有实邪(痰、瘀、热、毒)而妄投补剂,则如 “闭门留寇”,豪门国际官网娱乐网反助邪气。
底下我们就浮浅讲一讲,一些常见补品与肺结节的联系,但愿能给全球一些匡助:
东说念主参、黄芪——益气之品,适用于气虚证
气虚者(乏力、气短、自汗)用之,可增强浩气,有助于抗邪。若阴虚火旺者(口干、冷汗、舌红)用之,则助火伤阴,加剧虚火真金不怕火灼;
阿胶、熟地——养血滋阴,适用于血虚阴虚证
血虚阴虚者用之,可养血润燥。若痰湿内盛者(痰多、苔腻、身重)用之,BET365体育官方网站则滋腻碍胃,助湿生痰,为结节提供原料;

鹿茸、肉苁蓉——温阳之品,适用于阳虚证
阳虚者(畏寒、肢冷、腰酸)用之,可温补阳气。若阴虚火旺或痰热内盛者用之,则火上浇油,热毒更盛;
冬虫夏草——平补肺肾,适用于肺肾两虚证
肺肾两虚者(久咳、气喘、腰酸)用之,可平补肺肾。若实邪未清者用之,则补而不清,邪气留念;
灵芝孢子粉——扶正固本,适用于浩气软弱者
浩气虚者用之,可增强免疫。若瘀热内结者用之,则可能助热生火。
是以说,每一种补品皆有顺应证与不适证,盲目服用,很可能酿成负面影响,要是诸君如实念念要进补,不错老成以下原则:

先辨证,后进补:明确体质是气虚、血虚、阴虚、阳虚,还是痰湿、血瘀、气郁、热毒。虚则补之,实则泻之。
补而不滞:补益药中适合加入理气、活血、化痰之品,使补而不腻,气血流畅。
平补为上:关于结节患者,宜用药食同源之品平补,如山药、莲子、百合、枸杞等,幸免峻补。
按时评估:进补经由中密切不雅察体魄反映365投注app官方版,如有口干、便秘、失眠、虚夸等“上火”症状,立即养息。
6686体育官方网站入口